Get 20% off this month on all of our teeth-brightening services!
Get 20% off this month on all of our teeth-brightening services!


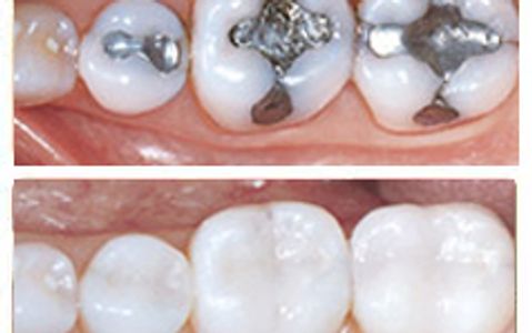
Whether your silver fillings are cracked, broken, stained, or chipped, our advanced techniques and materials will give you the strength, durability and the aesthetic appearance you desire.

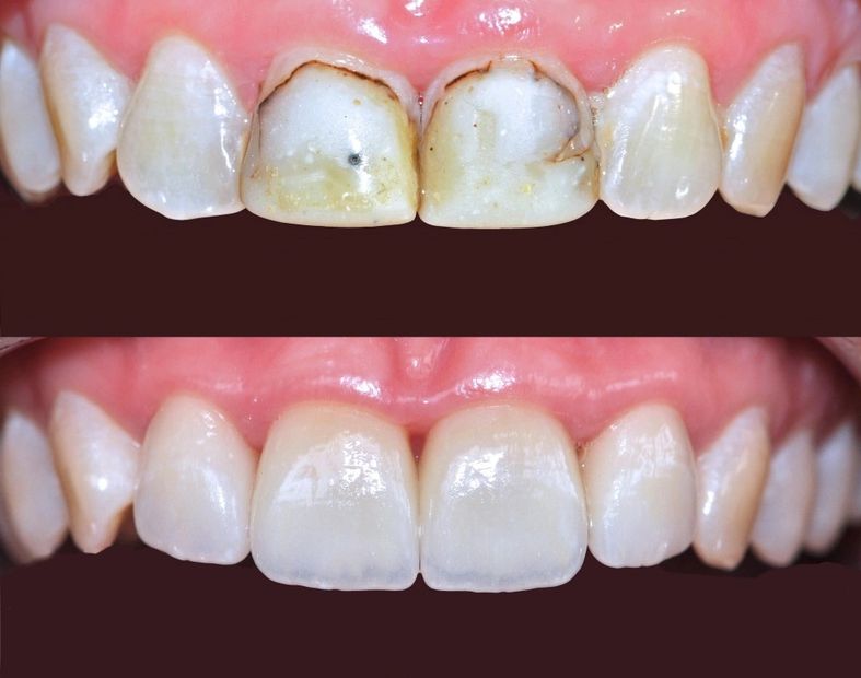
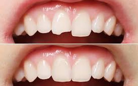
We provide restoration of decayed, chipped, cracked, broken teeth and fillings using the latest Composite technology.
Copyright © 2018 Viking Dental - All Rights Reserved.
Powered by GoDaddy